症例紹介
- トップページ
- 症例紹介
矯正歯科の症例
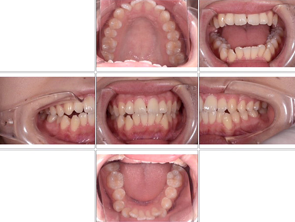
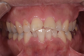
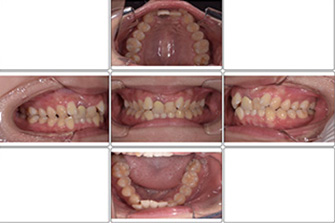
case.1 前歯の隙間気になる
BEFORE
AFTER
| 主訴 | 前歯の隙間気になる |
|---|---|
| 治療期間 | 4ヶ月 |
| 治療費 | 440,000円(税込) |
| 治療内容 | クリアコレクト、マウスピース矯正 |
| 治療のリスク | 歯根吸収・歯肉炎・顎関節症・虫歯・装置による違和感や口内炎・歯の移動に伴う痛み・治療期間の延長・歯肉退縮等、その他リスクが生じる可能性はあります。 |
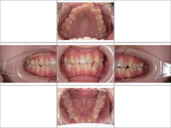
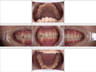
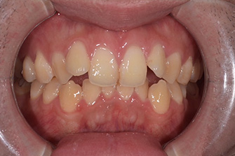
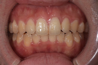
case.2 前歯のでこぼこが気になる
BEFORE
AFTER
| 主訴 | 前歯のでこぼこが気になる |
|---|---|
| 治療期間 | 10ヶ月 |
| 治療費 | 550,000円(税込) |
| 治療内容 | クリアコレクト、マウスピース矯正 |
| 治療のリスク | 歯根吸収・歯肉炎・顎関節症・虫歯・装置による違和感や口内炎・歯の移動に伴う痛み・治療期間の延長・歯肉退縮等、その他リスクが生じる可能性はあります。 |
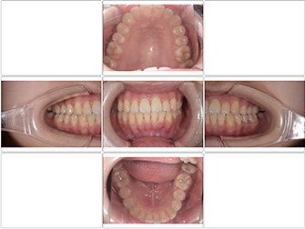
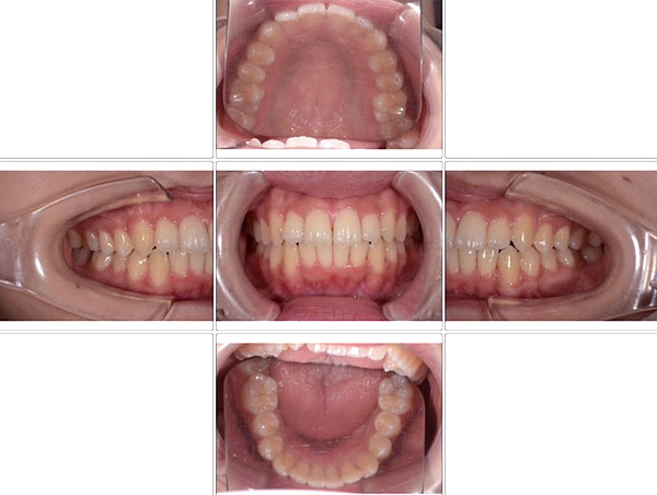
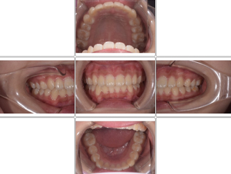
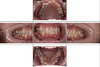
case.3 八重歯が気になる
BEFORE
AFTER
| 主訴 | 八重歯が気になる |
|---|---|
| 治療期間 | 1年 |
| 治療費 | 737,000円(税込) |
| 治療内容 | クリアコレクト、マウスピース矯正 |
| 治療のリスク | 歯根吸収・歯肉炎・顎関節症・虫歯・装置による違和感や口内炎・歯の移動に伴う痛み・治療期間の延長・歯肉退縮等、その他リスクが生じる可能性はあります。 |
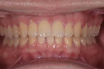
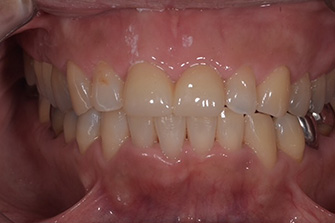
case.4 見た目が気になる
BEFORE
AFTER
| 主訴 | 見た目が気になる |
|---|---|
| 治療期間 | 1年6ヶ月 |
| 治療費 | 770,000円(税込) |
| 治療内容 | ワイヤー矯正 |
| 治療のリスク | 歯根吸収・歯肉炎・顎関節症・虫歯・装置による違和感や口内炎・歯の移動に伴う痛み・治療期間の延長・歯肉退縮等、その他リスクが生じる可能性はあります。 |
case.5 八重歯が気になる
BEFORE
AFTER
| 主訴 | 八重歯が気になる |
|---|---|
| 治療期間 | 1年4ヶ月 |
| 治療費 | 737,000円(税込) |
| 治療内容 | クリアコレクト、マウスピース矯正 |
| 治療のリスク | 歯根吸収・歯肉炎・顎関節症・虫歯・装置による違和感や口内炎・歯の移動に伴う痛み・治療期間の延長・歯肉退縮等、その他リスクが生じる可能性はあります。 |
case.6 見た目が気になる
BEFORE
AFTER
| 主訴 | 見た目が気になる |
|---|---|
| 治療期間 | 1年 |
| 治療費 | 550,000円(税込) |
| 治療内容 | クリアコレクト、マウスピース矯正 |
| 治療のリスク | 歯根吸収・歯肉炎・顎関節症・虫歯・装置による違和感や口内炎・歯の移動に伴う痛み・治療期間の延長・歯肉退縮等、その他リスクが生じる可能性はあります。 |
case.7 見た目が気になる
BEFORE
AFTER
| 主訴 | 見た目が気になる |
|---|---|
| 治療期間 | 8ヶ月 |
| 治療費 | 550,000円(税込) +上顎前歯ジルコニアクラウン99,000(税込)×2 |
| 治療内容 | クリアコレクト |
| 治療のリスク | 歯根吸収・歯肉炎・顎関節症・虫歯・装置による違和感や口内炎・歯の移動に伴う痛み・治療期間の延長・歯肉退縮等、その他リスクが生じる可能性はあります。 |
case.8 見た目が気になる
BEFORE
AFTER
| 主訴 | 見た目が気になる |
|---|---|
| 治療期間 | 1年 |
| 治療費 | 550,000円(税込) |
| 治療内容 | クリアコレクト |
| 治療のリスク | 歯根吸収・歯肉炎・顎関節症・虫歯・装置による違和感や口内炎・歯の移動に伴う痛み・治療期間の延長・歯肉退縮等、その他リスクが生じる可能性はあります。 |